Lake Erie Dental
World Class Cosmetic & Implant Dentistry
Lake Erie Dental
World Class Cosmetic & Implant Dentistry
Request an Appointment
Like us on Facebook
Visit us on Yelp
Watch our Youtube Videos
Leave a Google Review
(814) 693-5856
4944 Peach Street, Erie, PA 16509
4944 Peach Street, Erie, PA 16509
Menu
Call
Book Now
Map
Home
About
Our Team
Technology
Office Pictures
Services
View All
Invisible Braces
Cosmetic Dentistry
Dental Implants
Emergency Dentistry
Zoom Teeth Whitening
Veneers
TMJ and Bruxism
Botox Cosmetic and Dermal Fillers
Gum Disease Treatment
Cone-Beam CT Scan
Orthodontics
Smile Gallery
Testimonials
Forms
FAQs
View All
Other
Emergency Dentistry
Financial
Contact
Lake Erie Dental
>
Smile Gallery
>
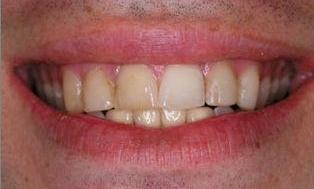
Crowns
Crowns
Return to Smile Gallery
Previous
Next
Drag the arrows back and forth to view complete Before and After views
Improve your smile today – call to schedule a consultation!
Claim Now!
If you have difficulty using our website, please
email us
or call us at
(814) 693-5856
View the
ADA Accessibility Statement
Turn on ADA Views
Privacy Policy
OK!
×
×
Contact Us Today
Give Us A Call
Lake Erie Dental -
(814) 693-5856
Send Us an Email
Request an Appointment
Contact Us
Ready to Schedule an Appointment?
Book Online
Have Questions? Contact Us:
Required Field
Your Name:
Phone:
Email:
Are you a new patient?:
Are you a?
New Patient
Current Patient
How would you like us to contact you?
Please choose
Email
Call
How did you hear about us?
Please choose
I'm an existing patient
Google/Bing
Mailer
Word of mouth
Social media
Other
Who Referred You?:
Appointment Preferences
Monday
Tuesday
Wednesday
Thursday
Your Message:
This site is protected by reCAPTCHA and the Google
Privacy Policy
and
Terms of Service
apply.
Sending...
×
This Patient's Experience
Loading Testimonial...
Loading Case...