Lake Erie Dental
World Class Cosmetic & Implant Dentistry

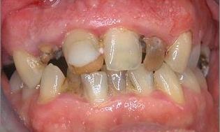
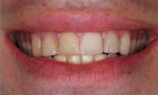
Smile Gallery

If you feel self-conscious about your smile, this can negatively impact your entire life. A great smile can make you feel happy—and that can make those around you happy as well.

Why live with a smile you don’t love to show? At Lake Erie Dental, Dr. Sambuchino uses his skills to give our patients something to smile about! See for yourself in our smile gallery. 

Still need an appointment?
Smile Gallery Categories
Tmj testimonial for Dr. Sambuchino
If you have difficulty using our website, please email us or call us at (814) 693-5856
View the ADA Accessibility Statement
Privacy Policy